Cervical Radiculopathy
Gerard Malanga, MD, Chief Editor: Sherwin SW Ho, MD, Additional Contributor: Janos P Ertl, MD, Acknowledgements: Michael A Romello, MD
Background
Cervical radiculopathy is a dysfunction of a nerve root of the cervical spine. The seventh (C7; 60%) and sixth (C6; 25%) cervical nerve roots are the most commonly affected. [1, 2, 3, 4, 5, 6, 7]

Sagittal magnetic resonance image of the cervical spine. This image reveals a C6-C7 herniated nucleus pulposus.

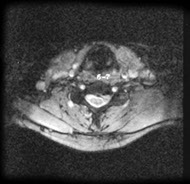
Axial magnetic resonance image of the cervical spine. This image reveals a C6-C7 herniated nucleus pulposus.
In the younger population, cervical radiculopathy is a result of a disc herniation or an acute injury causing foraminal impingement of an exiting nerve. [8] Disc herniation accounts for 20-25% of the cases of cervical radiculopathy. In the older patient, cervical radiculopathy is often a result of foraminal narrowing from osteophyte formation, decreased disc height, degenerative changes of the uncovertebral joints anteriorly and of the facet joints posteriorly.
Factors associated with increased risk include heavy manual labor requiring the lifting of more than 25 pounds, smoking, and driving or operating vibrating equipment. Other, less frequent causes include tumors of the spine, an expanding cervical synovial cyst, synovial chondromatosis in the cervical facet joint, giant cell arteritis of the cervical radicular vessels, and spinal infections. [9, 10] The purpose of this article is to provide information on the presentation, evaluation, differential diagnosis, and treatment of cervical radiculopathy.
Epidemiology
Frequency
United States
Cervical radiculopathy occurs at a much lower frequency than radiculopathy of the lumbar spine. The annual incidence is approximately 85 cases per 100,000 population.
Functional Anatomy
Seven cervical vertebrae and 8 cervical nerve roots exist. The C1-2 (atlantoaxial) joint forms the upper cervical segment. [1, 3, 11, 12] This joint allows for 50% of all cervical rotation. The occipitoatlantal joint is responsible for 50% of flexion and extension. Below the C2-C3 level, lateral bending of the cervical spine is coupled with rotation in the same direction. This is due to the 45° inclination of the cervical facet joints.
The vertebral bodies of C3-C7 are similar in appearance and function. They articulate via the zygapophyseal or facet joints posteriorly. On the lateral aspect of the vertebral bodies are sharply defined margins, which articulate with the facet above. These articulations are called uncovertebral joints, or the joints of Luschka. These joints can develop osteophytic spurs, which can narrow the intervertebral foramina.
Intervertebral discs are located between the vertebral bodies of C2-C7. The discs are composed of an outer annular fibrosis and an inner nucleus pulposus and serve as force dissipators, transmitting compressive loads throughout a range of motion (ROM). The intervertebral discs are thicker anteriorly and therefore contribute to normal cervical lordosis.
The foramina are largest at C2-C3 and progressively decrease in size to the C6-C7 level. The nerve root occupies 25-33% of the foraminal space. The neural foramen is bordered anteromedially by the uncovertebral joints, posterolaterally by facet joints, superiorly by the pedicle of the vertebra above, and inferiorly by the pedicle of the lower vertebra. Medially, the foramina are formed by the edge of the end plates and the intervertebral discs. The nerve roots exit above their correspondingly numbered vertebral body from C2-C7. C1 exits between the occiput and atlas, and C8 exits below the C7 vertebral body. Degenerative changes of the structures that form the foramina can cause nerve root compression. This compression can occur from osteophyte formation, disc herniation, or a combination of the 2.
Sport-Specific Biomechanics
Cervical radiculopathy in athletes can occur from several mechanisms. These injuries can occur from an extension, lateral bending, or rotation mechanism, which closes the neural foramen and results in ipsilateral nerve root injury. Conversely, a traction injury can occur with a sudden flexion or extension, coupled with lateral bending away from the affected nerve root.
Additionally, cervical disc herniations can occur with a sudden load with the neck in either flexion or extension. In elderly persons with osteophyte formation, repetitive neck extension and rotation in certain sports, such as swimming or tennis, may result in a more insidious injury.
History
Obtaining a detailed history is important to establish a diagnosis of cervical radiculopathy. The examiner should ask the following questions:
- First, what is the patient's chief complaint (eg, pain, numbness, weakness, location of symptoms)?
- A visual analogue scale from 0-10 can be used to determine the patient's perceived level of pain.
- Anatomic pain drawings can also be helpful in giving the physician a quick review of the patient's pain pattern.
- What activities and head positions increase or decrease symptoms?
- This information can be helpful for both diagnosis and treatment.
- When did the injury occur, what was the mechanism of injury, and what was done at that time?
- Has the patient experienced previous episodes of similar symptoms or localized neck pain?
- Does the patient have symptoms suggestive of a cervical myelopathy, such as changes in gait, bowel or bladder dysfunction, or lower-extremity sensory changes or weakness?
-
What previous treatments (prescribed or self-selected) has the patient tried? These may include:
- The use of ice and/or heat
- Medications (eg, acetaminophen, aspirin, nonsteroidal anti-inflammatory drugs [NSAIDs])
- Physical therapy, traction, or manipulation
- Injections
- Surgical treatments.
- A social history should include the patient's sport and position, occupation, and the use of nicotine and/or alcohol.
- The typical patient with cervical radiculopathy presents with neck and arm discomfort of insidious onset. The discomfort can range from a dull ache to a severe burning pain. Typically, pain is referred to the medial border of the scapula, and the patient's chief complaint is shoulder pain. As the radiculopathy progresses, the pain radiates to the upper or lower arm and into the hand, along the sensory distribution of the nerve root that is involved.
- The older patient may have had previous episodes of neck pain or give a history of having arthritis of the cervical spine.
- Acute disc herniations and sudden narrowing of the neural foramen may also occur in injuries involving cervical extension, lateral bending, or rotation and axial loading. These patients complain of increased pain with neck positions that cause foraminal narrowing (eg, extension, lateral bending, or rotation toward the symptomatic side).
- Many patients report that they can reduce their radicular symptoms by abducting their shoulder and placing their hand behind their head. This maneuver is thought to relieve symptoms by decreasing tension at the nerve root.
- Patients may complain of sensory changes along the involved nerve root dermatome, which can include tingling, numbness, or loss of sensation.
- Some patients may complain of motor weakness. A small percentage of patients will present with weakness only, without significant pain or sensory complaints.
Physical
See the list below:
-
Observation
- The physical examination begins with observation of the patient during the history portion of the evaluation. This includes head and neck posture and movement during normal conversation. Typically, patients tilt their head away from the side of injury and hold their neck stiffly.
- Active ROM is usually reduced, particularly in extension, rotation, and lateral bending, either toward or away from the affected nerve root.
- Increased pain with lateral bending away from the affected side can result from increased displacement of a herniated disc onto a nerve root, whereas ipsilateral pain suggests impingement of a nerve root at the site of the neural foramen.
-
Palpation
- On palpation, tenderness is usually noted along the cervical paraspinal muscles, and it is usually more pronounced along the ipsilateral side of the affected nerve root.
- Muscle tenderness may be present along the muscles where the symptoms are referred (eg, medial scapula, proximal arm, lateral epicondyle).
- Associated hypertonicity or spasm on palpation in these painful muscles may occur.
- Letchuman et al showed that cervical radiculopathy is associated with increased tender spots (both trigger and tender points) on the side of the radiculopathy, with a predilection toward the muscles innervated by the involved nerve root. [13] This study revealed that not only pain, but also tenderness, may be referred in radiculopathy.
-
Motor
- Manual muscle testing is an important aspect of determining an affected nerve root level on physical examination. Perform manual muscle testing to detect subtle weakness in a myotomal distribution.
- Place the limb of the affected side in the antigravity position and apply resistance proximal to the next distal joint. For example, to test the extensor carpi ulnaris muscle, have the patient's forearm in full pronation and resting on a table or supported. The patient is then instructed to extend the hand and deviate it toward the ulnar side, while the examiner applies resistance against the dorsum of the fifth metacarpal bone. Muscle strength is then graded on a scale of 0 to 5, as follows:
- 0 – No muscle contraction
- 1 – Muscle contracts but is not able to move the joint/limb
- 2 – Muscle is able to move the joint/limb, but not against gravity
- 3 – Muscle is able to move the joint/limb against gravity, but not through a full ROM
- 4 – Muscle is able to move the joint/limb through a full ROM, but the strength against resistance is not equal to the opposite limb (if normal)
- 5 – Muscle strength is normal (equal to the opposite, normal limb)
-
Radiculopathies by nerve level:
- C5 radiculopathy
- - Weakness: shoulder abduction
- - Test: Have patients hold their shoulders in abduction, against downward force by the examiner.
- C6 radiculopathy
- - Weakness: elbow flexion, wrist extension
- - Test: Have patients lift their arm against resistance by the examiner.
- C7 radiculopathy
- - Weakness: elbow extension, wrist flexion
- - Test: Have patients push with their arm away from their chest against resistance by the examiner.
- C8 radiculopathy
- - Weakness: thumb extension, wrist ulnar deviation
- - Test: Have the patients hold their extended fingers together against the examiner's attempts to open the fingers.
-
Sensory
- The sensory examination can be quite subjective because it requires a response by the patient.
- In addition, patients with radiculopathy may have hyperesthesia to light touch and pin-prick examination.
- On sensory examination, patients with a clear-cut radiculopathy should demonstrate a decrease in or loss of sensation in a dermatomal distribution.
- Deep tendon reflexes
- The deep tendon reflexes—or, more properly, muscle stretch reflexes, because the reflex occurs after a muscle is stretched (most commonly by tapping its distal tendon)—are helpful in the evaluation of patients who present with limb symptoms that are suggestive of a radiculopathy. The examiner must position the limb properly when obtaining these reflexes, and the patient needs to be as relaxed as possible. Any grade of reflex can be normal, so asymmetry of the reflexes is most helpful finding.
- The biceps brachii reflex is obtained by tapping the distal tendon in the antecubital fossa. This reflex occurs at the C5-C6 level.
- The brachioradialis reflex is obtained by tapping the radial aspect of the wrist. It is also a C5-C6 reflex
- The triceps reflex can be obtained by tapping the distal tendon at the posterior aspect of the elbow, with the elbow relaxed at about 90° of flexion. This tests the C7-C8 nerve roots.
- The pronator reflex can be helpful in differentiating C6 and C7 nerve root problems. If this reflex is abnormal in conjunction with an abnormal triceps reflex, then the level of involvement is more likely to be C7. The pronator reflex is performed by tapping the volar aspect of the distal radius with the forearm in a neutral position and the elbow flexed. This results in a stretch of the pronator teres, resulting in a reflex pronation.
- In patients whose clinical picture raises concern about possible myelopathy, the lower-extremity reflexes and Hoffman and Babinski reflexes should also be assessed. Diffuse hyperreflexia and/or positive Hoffman and abnormal Babinski reflexes would indicate that the patient has a cervical myelopathy.
-
Provocative tests
- The foraminal compression test, or Spurling test, is probably the best test for confirming the diagnosis of cervical radiculopathy. It is performed by positioning the patient with the neck extended and the head rotated, and then applying downward pressure on the head. The test is considered positive if pain radiates into the limb ipsilateral to the side to which the head is rotated. The Spurling test has been found to be very specific (93%), but not sensitive (30%), in diagnosing acute radiculopathy. [11] Therefore, it is not useful as a screening test, but it is clinically useful in helping to confirm cervical radiculopathy. [14]
- Manual cervical distraction can be used as a physical examination test. With the patient in a supine position, gentle manual distraction often greatly reduces the neck and limb symptoms in patients with radiculopathy.
- Lhermitte sign is an electric shock-like sensation radiating down the spine, and in some patients into the extremities, elicited by flexion of the neck. This sign has been found in patients with cervical cord involvement or cervical spondylosis, and also in patients with tumor and multiple sclerosis (MS); however, the Lhermitte sign should be negative in those with cervical radiculopathy. Manual distraction may reduce the neck and limb symptoms in patients with cervical radiculopathy.
Causes
Little is known about the natural history of cervical radiculopathy. The pathogenesis of radiculopathy involves an inflammatory process initiated by nerve root compression. Evidence exists that inflammatory mediators, including nitric oxide, prostaglandin E2, interleukin-6, and matrix metalloproteinases, are released by herniated intervertebral discs. [15, 16] This results in nerve root swelling. The compression may be from a disc herniation, degenerative changes about the neural foramen, or a combination of the 2.
A study in patients with cervical disc disease found that compression of a nerve root produced limb pain, whereas pressure on the disc produced pain in the neck and medial border of the scapula. [17] Results from intradiscal injection and electrical stimulation of the disc have also suggested that neck pain is referred by a damaged outer annulus. [18, 19, 20, 21, 22, 23] Muscle spasms of the neck have also been found after electrical stimulation of the disc.
Imaging Studies
See the list below:
-
Plain radiography
- Radiography of the cervical spine is usually the first diagnostic test ordered in patients who present with neck and limb symptoms, and more often than not, this study is diagnostic of cervical disc disease as the cause of the radiculopathy. The American College of Radiology recommends plain radiographs as the most appropriate initial study in all patients with chronic neck pain. [24] Lateral, anteroposterior, and oblique views should be ordered.
- On the lateral view, look for disc-space narrowing, comparing the level above and below. Typically, the cervical disc spaces get larger from C2-C6, with C5-C6 being the widest disc space in normal necks, and C6-C7 slightly narrower. Besides narrowing, look for subchondral sclerosis and osteophyte formation.
- On oblique views, look for foraminal stenosis at the level of the suspected radiculopathy, comparing it with the opposite foramina, if uninvolved. For example, in a patient with pain or sensory changes along the right C6 nerve distribution, look for narrowing of the right C5-C6 neural foramina as compared with the left side.
- An open-mouth view should be ordered only to rule out injury to the atlantoaxial joint when significant acute trauma has occurred. Visualizing all 7 cervical vertebrae is very important. If C7 can not be properly seen, then a "swimmer's view" (supine oblique view, in which the patient's arm is extended over the head) or a computed tomography (CT) scan should be obtained for better visualization of the C7 and T1 segments.
- The atlantodens interval (ADI) is the distance from the posterior aspect of the anterior C1 arch and the odontoid process. This interval should be less than 3 mm in adults and less than 4 mm in children. An increase in the ADI suggests atlantoaxial instability, such as from trauma or rheumatoid arthritis. Flexion and extension views can be helpful in assessing spinal mobility and stability in these patients.
- The clinician should be aware of the limitations of plain radiographs. Problems with both specificity and sensitivity exist. Correlations of findings on plain radiographs and cadaver dissections have found a 67% correlation between disc-space narrowing and anatomic findings of disc degeneration. However, radiographs identified only 57% of large posterior osteophytes and only 32% of abnormalities of the apophyseal joints that were found on dissection.
-
CT scanning
- CT scanning provides good visualization of bony elements and can be helpful in the assessment of acute fractures. It can also be helpful when C6 and C7 cannot be clearly seen on traditional lateral radiographic views. The accuracy of CT imaging of the cervical spine ranges from 72-91% in the diagnosis of disc herniation.
- CT scanning with myelography has an accuracy approaching 96% for diagnosis of cervical disc herniation. Furthermore, the addition of contrast material allows for the visualization of the subarachnoid space and assessment of the spinal cord and nerve roots. CT scanning with myelography is preferable to plain CT for assessment and localization of spinal cord compression and any underlying atrophy. This study can also determine the functional reserve of the spinal canal in evaluating athletes with possible cervical stenosis.
- Even with myelography, however, soft-tissue visualization with CT is inferior to that provided by magnetic resonance imaging (MRI). For that reason, MRI is replacing CT scanning for imaging of most cervical spine disorders.
-
MRI
- MRI has become the method of choice for imaging the neck to detect significant soft-tissue pathology, such as disc herniation. The American College of Radiology recommends routine MRI as the most appropriate imaging study in patients with chronic neck pain who have neurologic signs or symptoms but normal radiographs. [24] MRI can detect ligament and disc disruption, which cannot be demonstrated by other imaging studies. The entire spinal cord, nerve roots, and axial skeleton can be visualized. This study is usually performed in the axial and sagittal planes.
- MRI has been found to be quite useful in evaluating the amount of cerebrospinal fluid (CSF) surrounding the cord in the evaluation of patients with cervical canal stenosis, although the T2-weighted images tend to exaggerate the degree of stenosis. Cantu reviewed the use of MRI in the evaluation of athletes with possible cervical stenosis and noted that it can be quite helpful in determining the functional reserve of the spinal canal. [25]
- Although MRI is considered the imaging method of choice for the evaluation of cervical radiculopathy, abnormalities have also been found in asymptomatic subjects. In one study, 10% of subjects younger than 40 years were noted to have disc herniations; of subjects older than 40 years, 20% had evidence of foraminal stenosis and 8% had disc protrusion or herniation. [26] Therefore, as with all imaging studies, the MRI findings must be used in conjunction with the patient's history and physical examination findings.
Other Tests
See the list below:
-
Electromyography (EMG)
- Electrodiagnostic studies are important in identifying physiologic abnormalities of the nerve root and in ruling out other neurologic causes for the athlete's complaints. EMG has been shown to be useful in the diagnosis of radiculopathy and has correlated well with findings on myelography and surgery.
- EMG has 2 parts: (1) nerve conduction studies and (2) a needle-electrode examination. The nerve conduction studies are performed by placing surface electrodes over a muscle belly or sensory area and stimulating the nerve that supplies either the muscle or sensory area from fixed points along the nerve. From this, the amplitude, distal latency, and conduction velocity can be measured. The amplitude reflects the number of intact axons, whereas the distal latency and conduction velocity is more indicative of the degree of myelination.
-
The needle EMG portion of the electrodiagnostic examination involves inserting a fine-needle electrode into a muscle. Electrical activity is generated by the needle insertion into the muscle, voluntary muscle contraction, and the spontaneous firing of motor units. The activity is observed on an oscilloscope screen and quantified; an audible sound is also generated.
-
- Denervated muscle produces spontaneous electrical activity while the muscle is at rest. These potentials are called fibrillations or positive sharp waves based on their characteristic shape and sound. Changes can be also seen in the configuration of the individual motor unit, as well as an increase in the firing rate of the individual motor units.
- The timing of the EMG evaluation is important because positive sharp waves and fibrillation potentials first occur 18-21 days after the onset of a radiculopathy; therefore, it is best to delay this study until 3 weeks after an injury, to ensure that the results are as accurate as possible.
- The primary use of EMG is to confirm nerve root dysfunction when the diagnosis is uncertain or to distinguish a cervical radiculopathy from other lesions when the physical examination findings are unclear. Although electrodiagnostic studies are very sensitive and specific, normal EMG results in a patient with signs and symptoms consistent with a cervical radiculopathy do not exclude the diagnosis of cervical radiculopathy.
-
Selective diagnostic nerve root block (SNRB)
- In an SNRB, a small aliquot of local anesthetic is used to anesthetize the nerve root and dorsal root ganglion to determine if the patient’s pain is coming from the specific nerve root. SNRB has been shown to be useful in the diagnosis of radiculopathy, and the results correlate well with surgical findings. It is both sensitive and specific.
- SNRB is best indicated when MRI findings are equivocal, show abnormalities at several cervical levels, and/or do not correlate with the patient’s symptoms. In these situations, a negative result on an SNRB is a superior indication of the absence of an offending lesion and may deter surgeons from operating on a patient with a suspicious, but clinically innocuous, lesion.
Acute Phase
Rehabilitation Program
Physical Therapy
Little is known about the natural history of cervical radiculopathy, and there are few controlled randomized studies comparing operative with nonoperative treatment for this condition. A best-evidence synthesis by the Bone and Joint Decade 2000-2010 Task Force on Neck Pain and Its Associated Disorders concluded that there is not clear evidence that surgical treatment of cervical radiculopathy provides better long-term outcomes than nonoperative measures. [14]
Initial treatment should be directed at reducing pain and inflammation. The treatment can begin with local icing, NSAIDs, and measures that reduce the forces compressing the nerve root: relative rest; avoiding positions that increase arm and/or neck symptoms; manual traction; and, if necessary, mechanical traction.
In addition, a cervical collar can be used for patient comfort and some support. A cervical pillow at night can be helpful in maintaining the neck in a neutral position and limiting head positions that cause narrowing of the neural foramen. Manual and, if necessary, mechanical traction can be used to reduce radicular symptoms by decreasing foraminal compression and intradiscal pressures.
Kuijper et al found that, with patients in the early phase of cervical radiculopathy, the use of a semi-hard cervical collar and rest for 3-6 weeks, or physiotherapy accompanied by home exercises for 6 weeks, reduced neck and arm pain substantially compared with a wait-and-see policy. [27] In a randomized controlled trial in 205 patients with symptoms and signs of cervical radiculopathy of less than 1 month's duration, neck pain did not decrease significantly in the first 6 weeks, whereas the cervical collar and rest resulted in a 17-mm reduction on the visual analogue scale and physiotherapy resulted in a decrease of 14 mm. The neck disability index showed a significant change with the use of the collar and rest and a nonsignificant effect with physiotherapy and home exercises, compared with a wait-and-see policy. [27]
Most studies of modalities such as electrical stimulation have been uncontrolled. Although these modalities appear to be helpful in reducing the associated muscle pain and spasm that are often found with cervical problems, they should be limited to the initial pain control phase of treatment.
Other Treatment
Cervical epidural steroids have been used in patients whose conditions have not had satisfactory responses to medications, traction, and a well-designed physical therapy program. [28, 29] When properly performed by experienced physicians under fluoroscopic guidance, a significant number of patients' cervical radiculopathies respond to cervical epidural steroids when other treatments have not helped. The Bone and Joint Decade 2000-2010 Task Force on Neck Pain and Its Associated Disorders found support in the literature for short-term symptomatic improvement of radicular symptoms with epidural corticosteroids, [14] while the American Society of Interventional Pain Physicians found moderate evidence that cervical interlaminar epidural steroid injections can provide short-term and long-term improvement in cervical radiculopathy. [30]
Studies have reported favorable results with translaminar and transforaminal epidural corticosteroid injections. These studies have shown up to 60% long-term relief of radicular pain and neck pain and a return of the patients to their usual activities. Complications from these procedures are rare, but some case studies show that complications can be catastrophic and include severe sequelae from spinal cord or brainstem infarction. SNRBs can be helpful in patients with electrodiagnostically demonstrated single-root lesions. [31] This has rarely been necessary in the author's experience. In general, the vast majority of patients with cervical radiculopathy can be successfully managed without the need for injections. They should be reserved for the patient with persistent radicular pain who has not responded to a course of oral medications, active physical therapy, and relative rest. There is no indication for performing these injections in a “series”. In the majority of casesonly1-2injectionsarenecessary to reduce the nerve root inflammation and progress the patient on an active exercise program.
Engel et al conducted a systematic literature review to study the effectiveness and risks of fluoroscopically guided cervical transforaminal injection of corticosteroids in the treatment of radicular pain. [32] The researchers found evidence that suggests that approximately 50% of patients experience 50% relief of radicular pain for at least 4 weeks after cervical transforaminal injection of steroids (CTFIS), and the intervention may have surgery-sparing effects. The literature also contained 21 articles that report complications, including 13 deaths and many catastrophic neurological injuries. The authors concluded that in patients with cervical radicular pain, fluoroscopically guided CTFIS may be effective in easing pain and reducing need for surgery. However, the evidence of effectiveness is of very low quality, and the benefits of the procedure are compromised by the risks of serious complications. [32]
Acupuncture has been used to treat radicular pain with some success. This treatment can be considered if pain control is not achieved with physical therapy and medications or in conjunction with these treatments. In addition, acupuncture can be tried instead of cervical epidural injection in patients who are hesitant or who do not wish to proceed with this procedure. Evidence-based treatment guidelines from the Council of Acupuncture and Oriental Medicine Associations recommend acupuncture and electroacupuncture as appropriate for patients with cervical radiculopathy. [33]
A double-blind sham-controlled randomized clinical trial found that pulsed radiofrequency treatment of the cervical dorsal root ganglion may provide pain relief for a limited number of carefully selected patients with chronic cervical radicular pain. [34]
Maintenance Phase
Rehabilitation Program
Physical Therapy
Patients should be independent in a stretching and strengthening program and continue with these exercises under the supervision of an athletic trainer initially and then completely on their own. Emphasis is placed on stretching the anterior neck and shoulder muscle groups and strengthening the neck and scapular muscles. Once the goals of physical therapy have been met, proper head and neck positioning is then maintained in everyday activity and sports.
Surgical Intervention
Patients whose condition fails to improve with a comprehensive rehabilitation program and selective injections should be offered a surgical evaluation. Generally, patients should show progressive improvement over the first 6-8 weeks with conservative treatment. If there is no significant improvement in this time frame, consider a surgical evaluation.
Early surgical intervention is recommended in any athlete found to have cervical instability. In addition, refer patients with a progressive neurologic deficit or long tract signs to a spine surgeon.
Surgery is best indicated in patients with radiculopathy with clearly identified pathology — for example, single-level disc herniation that correlates with the findings on history and physical examination. Procedures include laminectomy, discectomy, corpectomy, and fusion. With appropriate indications, surgery can result in resolution of symptoms and excellent outcomes in the majority of patients.
A study that compared outcomes between the concepts of an artificial disc to treatment with anterior cervical decompression and fusion found that artificial disc replacement did not result in better outcome compared to treatment with anterior cervical decompression and fusion 2 years after surgery. [36] A study by Engquist et al found that anterior cervical decompression and fusion combined with physiotherapy were more successful than physiotherapy alone in reducing neck pain and disability. [37]
Medication Summary
NSAIDs are commonly prescribed for their effects on pain and inflammation. In cervical radiculopathy, much of the pain is secondary to inflammation of the nerve root, usually due to a mechanical irritation of the nerve. In general, 10-14 days of regular dosing of an NSAID is all that is needed to control the pain and inflammation in cervical radiculopathy.
Oral steroids have been used to reduce the associated inflammation from compression. No controlled study exists to support the use of oral steroids in the treatment of cervical radiculopathy; however, these agents have been found to be clinically useful. Doses as high as 60 mg daily for 7 days and continuing for 5 days have been used without evidence of adrenal suppression. Longer-term use is not recommended. Tricyclic antidepressants can be a useful adjunct in controlling radicular pain. Opioid medications are generally not necessary for pain relief, but these drugs can be used when other medications fail to provide adequate relief or if other agents are contraindicated. When opioid medications are prescribed, adequate doses and appropriate dosing schedules should be used.
Nonsteroidal anti-inflammatory drugs
Class Summary
Various NSAIDs are available either over the counter or by prescription. Proper doses should be used in the acute phase around the clock for approximately 7-10 days.
Ibuprofen (Motrin, Ibuprin)
DOC for patients with mild to moderate pain. Inhibits inflammatory reactions and pain by decreasing prostaglandin synthesis.
Tricyclic antidepressants
Class Summary
Tricyclic antidepressants are a complex group of drugs that have central and peripheral anticholinergic effects, as well as sedative effects. These agents have central effects on pain transmission and block the active reuptake of norepinephrine and serotonin.
Amitriptyline (Elavil)
By inhibiting the reuptake of serotonin and/or norepinephrine by the presynaptic neuronal membrane, may increase the synaptic concentration in the CNS. Useful as an analgesic for certain chronic and neuropathic pain.
Nortriptyline (Pamelor, Aventyl HCl)
Has demonstrated effectiveness in the treatment of chronic pain. By inhibiting the reuptake of serotonin and/or norepinephrine by presynaptic neuronal membrane, may increase synaptic concentration in the CNS.
Pharmacodynamic effects, such as the desensitization of adenylate cyclase and downregulation of beta-adrenergic receptors and serotonin receptors, also appear to play a role in its mechanisms of action.
Follow Up
Return to Play
Criteria for return to play are absence of pain, a full pain-free ROM, a negative Spurling test, and a normal neurologic examination. A neck roll should be properly fitted and used in athletes at risk for a repeat injury (eg, a middle linebacker in football).
Complications
Complications include incomplete neurologic recovery, loss of full cervical ROM, and radiographic changes that indicate disc-space narrowing, persistent loss of normal cervical lordosis, and/or osteophyte formation.
Prevention
Some injuries can be prevented by using good technique (eg, when tackling an opponent in football, breathing properly when swimming). Proper head positioning may also be of benefit by stretching the anterior muscles of the neck and chest (ie, the anterior scalenes, pectoralis muscles) and strengthening the scapular muscles. Neck strengthening, including some eccentric strengthening exercises, may be helpful in providing muscular control of the neck.
Prognosis
The prognosis for patients with cervical radiculopathy is excellent, with proper treatment. Nonoperative treatment is effective in 80-90% of patients. Surgery is indicated when nonoperative treatment has failed. The time frame for this decision depends on the ability of the patient to progress through the various phases of rehabilitation (see Treatment, Acute Phase, Recovery Phase, and Maintenance Phase).
Education
Proper sport technique is usually of great importance in the prevention and rehabilitation of many cervical radiculopathies. This includes a proper ball toss in tennis, a proper body turn in swimming, and proper head positioning when tackling in football.
References
- Bogduk N, Twomey LT. Clinical Anatomy of the Lumbar Spine. 2nd ed. Edinburgh, UK: Churchill Livingstone Inc; 1991.
- Ellenberg MR, Honet JC, Treanor WJ. Cervical radiculopathy. Arch Phys Med Rehabil. 1994 Mar. 75(3):342-52. [Medline].
- Malanga GA. The diagnosis and treatment of cervical radiculopathy. Med Sci Sports Exerc. 1997 Jul. 29(7 suppl):S236-45. [Medline].
- Radhakrishnan K, Litchy WJ, O'Fallon WM, Kurland LT. Epidemiology of cervical radiculopathy. A population-based study from Rochester, Minnesota, 1976 through 1990. Brain. 1994 Apr. 117(pt 2):325-35. [Medline].
- van Gijn J, Reiners K, Toyka KV, Braakman R. Management of cervical radiculopathy. Eur Neurol. 1995. 35(6):309-20. [Medline].
- White AA, Panjabi MM. Clinical Biomechanics of the Spine. 2nd ed. Philadelphia, Pa: Lippincott Williams & Wilkins; 1990. 102.
- Parminder SP. Management of cervical pain. Delisa JA, Gans BM, eds. Rehabilitation Medicine: Principles and Practice. 3rd ed. Philadelphia, Pa: Lippincott Williams & Wilkins; 1988. 753.
- Murphey F, Simmons JC, Brunson B. Chapter 2. Ruptured cervical discs, 1939 to 1972. Clin Neurosurg. 1973. 20:9-17. [Medline].
- Shelerud RA, Paynter KS. Rarer causes of radiculopathy: spinal tumors, infections, and other unusual causes. Phys Med Rehabil Clin N Am. 2002 Aug. 13(3):645-96. [Medline].
- Soubrier M, Dubost JJ, Tournadre A, et al. Cervical radiculopathy as a manifestation of giant cell arteritis. Joint Bone Spine. 2002 May. 69(3):316-8. [Medline].
- Tong HC, Haig AJ, Yamakawa K. The Spurling test and cervical radiculopathy. Spine. 2002 Jan 15. 27(2):156-9. [Medline].
- Fryholm R. Cervical nerve root compression resulting from disc degeneration and root-sleeve fibrosis. Acta Chiru. Scand. 1951. 160(suppl):1-149.
- Letchuman R, Gay RE, Shelerud RA, VanOstrand LA. Are tender points associated with cervical radiculopathy?. Arch Phys Med Rehabil. 2005 Jul. 86(7):1333-7. [Medline].
- Nordin M, Carragee EJ, Hogg-Johnson S, et al for the Bone and Joint Decade 2000-2010 Task Force on Neck Pain and Its Associated Disorders. Assessment of neck pain and its associated disorders: results of the Bone and Joint Decade 2000-2010 Task Force on Neck Pain and Its Associated Disorders. Spine. 2008 Feb 15. 33(4 suppl):S101-22. [Medline].
- Furusawa N, Baba H, Miyoshi N, et al. Herniation of cervical intervertebral disc: immunohistochemical examination and measurement of nitric oxide production. Spine. 2001 May 15. 26(10):1110-6. [Medline].
- Kang JD, Stefanovic-Racic M, McIntyre LA, Georgescu HI, Evans CH. Toward a biochemical understanding of human intervertebral disc degeneration and herniation. Contributions of nitric oxide, interleukins, prostaglandin E2, and matrix metalloproteinases. Spine. 1997 May 15. 22(10):1065-73. [Medline].
- Viikari-Juntura E, Porras M, Laasonen EM. Validity of clinical tests in the diagnosis of root compression in cervical disc disease. Spine. 1989 Mar. 14(3):253-7. [Medline].
- Anderberg L, Annertz M, Rydholm U, Brandt L, Säveland H. Selective diagnostic nerve root block for the evaluation of radicular pain in the multilevel degenerated cervical spine. Eur Spine J. 2006 Jun. 15(6):794-801. [Medline].
- Sasso RC, Macadaeg K, Nordmann D, Smith M. Selective nerve root injections can predict surgical outcome for lumbar and cervical radiculopathy: comparison to magnetic resonance imaging. J Spinal Disord Tech. 2005 Dec. 18(6):471-8. [Medline].
- Anderberg L, Annertz M, Brandt L, Säveland H. Selective diagnostic cervical nerve root block--correlation with clinical symptoms and MRI-pathology. Acta Neurochir (Wien). 2004 Jun. 146(6):559-65; discussion 565. [Medline].
- Huston CW, Slipman CW. Diagnostic selective nerve root blocks: indications and usefulness. Phys Med Rehabil Clin N Am. 2002 Aug. 13(3):545-65. [Medline].
- Chesnut RM, Abitbol JJ, Garfin SR. Surgical management of cervical radiculopathy. Indication, techniques, and results. Orthop Clin North Am. 1992 Jul. 23(3):461-74. [Medline].
- Johnson EW, ed. Practical Electromyography. 2nd ed. Baltimore, Md: Lippincott Williams & Wilkins; 1979. 229-45.
- American College of Radiology. ACR Appropriateness Criteria: chronic neck pain. National Guideline Clearinghouse. Available at http://guideline.gov/summary/summary.aspx?doc_id=8297. Accessed: March 24, 2009.
- Cantu RC. Cervical spine injuries in the athlete. Semin Neurol. 2000. 20(2):173-8. [Medline].
- Boden SD, McCowin PR, Davis DO, Dina TS, Mark AS, Wiesel S. Abnormal magnetic-resonance scans of the cervical spine in asymptomatic subjects. A prospective investigation. J Bone Joint Surg Am. 1990 Sep. 72(8):1178-84. [Medline]. [Full Text].
- Kuijper B, Tans JT, Beelen A, Nollet F, de Visser M. Cervical collar or physiotherapy versus wait and see policy for recent onset cervical radiculopathy: randomised trial. BMJ. 2009 Oct 7. 339:b3883. [Medline]. [Full Text].
- Cohen SP, Gupta A, Strassels SA, Christo PJ, Erdek MA, Griffith SR, et al. Effect of MRI on Treatment Results or Decision Making in Patients With Lumbosacral Radiculopathy Referred for Epidural Steroid Injections: A Multicenter, Randomized Controlled Trial. Arch Intern Med. 2011 Dec 12. [Medline].
- Friedly J, Deyo RA. Imaging and Uncertainty in the Use of Lumbar Epidural Steroid Injections: Comment on "Effect of MRI on Treatment Results or Decision Making in Patients With Lumbosacral Radiculopathy Referred for Epidural Steroid Injections". Arch Intern Med. 2011 Dec 12. [Medline].
- American Society of Interventional Pain Physicians. Interventional techniques: evidence-based practice guidelines in the management of chronic spinal pain. National Guideline Clearinghouse. Available at http://guideline.gov/summary/summary.aspx?doc_id=10531. Accessed: March 25, 2009.
- Pobiel RS, Schellhas KP, Eklund JA, Golden MJ, Johnson BA, Chopra S, et al. Selective cervical nerve root blockade: prospective study of immediate and longer term complications. AJNR Am J Neuroradiol. 2009 Mar. 30(3):507-11. [Medline].
- Engel A, King W, MacVicar J. The effectiveness and risks of fluoroscopically guided cervical transforaminal injections of steroids: a systematic review with comprehensive analysis of the published data. Pain Med. 2014 Mar. 15(3):386-402. [Medline].
- Council of Acupuncture and Oriental Medicine Associations. Acupuncture and electroacupuncture: evidence-based treatment guidelines. National Guideline Clearinghouse. Available at http://guideline.gov/summary/summary.aspx?doc_id=9343. Accessed: March 24, 2009.
- Van Zundert J, Patijn J, Kessels A, Lamé I, van Suijlekom H, van Kleef M. Pulsed radiofrequency adjacent to the cervical dorsal root ganglion in chronic cervical radicular pain: a double blind sham controlled randomized clinical trial. Pain. 2007 Jan. 127(1-2):173-82. [Medline].
- Griffiths C, Dziedzic K, Waterfield J, Sim J. Effectiveness of specific neck stabilization exercises or a general neck exercise program for chronic neck disorders: a randomized controlled trial. J Rheumatol. 2009 Feb. 36(2):390-7. [Medline].
- Skeppholm M, Lindgren L, Henriques T, Vavruch L, Löfgren H, Olerud C. The Discover artificial disc replacement versus fusion in cervical radiculopathy--a randomized controlled outcome trial with 2-year follow-up. Spine J. 2015 Jun 1. 15 (6):1284-94. [Medline].
- Engquist M, Löfgren H, Öberg B, Holtz A, Peolsson A, Söderlund A, et al. A 5- to 8-year randomized study on the treatment of cervical radiculopathy: anterior cervical decompression and fusion plus physiotherapy versus physiotherapy alone. J Neurosurg Spine. 2016 Aug 26. 1-9. [Medline].
- Ahlgren BD, Garfin SR. Cervical radiculopathy. Orthop Clin North Am. 1996 Apr. 27(2):253-63. [Medline].
- Carragee EJ, Hurwitz EL, Cheng I, et al, and the Bone and Joint Decade 2000-2010 Task Force on Neck Pain and Its Associated Disorders. Treatment of neck pain: injections and surgical interventions: results of the Bone and Joint Decade 2000-2010 Task Force on Neck Pain and Its Associated Disorders. Spine. 2008 Feb 15. 33(4 suppl):S153-69. [Medline].
- Chiba S, Koge N, Oda M, et al. Synovial chondromatosis presenting with cervical radiculopathy: a case report. Spine. 2003 Oct 1. 28(19):E396-400. [Medline].
- Dreyfus P. The cervical spine: non-surgical care. Presented at: The Tom Landry Sports Medicine and Research Center. April 8, 1993; Dallas, Tex.
- Friedenberg ZB, Edeiken J, Spencer HN, Tolentino SC. Degenerative changes in the cervical spine. J Bone Joint Surg Am. 1959 Jan. 41-A(1):61-70 passim. [Medline]. [Full Text].
- Leblhuber F, Reisecker F, Boehm-Jurkovic H, Witzmann A, Deisenhammer E. Diagnostic value of different electrophysiologic tests in cervical disk prolapse. Neurology. 1988 Dec. 38(12):1879-81. [Medline].
- Lipetz JS, Malanga GA. Oral medications in the treatment of acute low back pain. Occup Med. 1998 Jan-Mar. 13(1):151-66. [Medline].
- Lo YL, Chan LL, Leoh T, et al. Diagnostic utility of F waves in cervical radiculopathy: electrophysiological and magnetic resonance imaging correlation. Clin Neurol Neurosurg. 2008 Jan. 110(1):58-61. [Medline].
- Malanga GA, Campagnolo DI. Clarification of the pronator reflex. Am J Phys Med Rehabil. 1994 Sep-Oct. 73(5):338-40. [Medline].
- Marks MR, Bell GR, Boumphrey FR. Cervical spine injuries and their neurologic implications. Clin Sports Med. 1990 Apr. 9(2):263-78. [Medline].
- Miwa M, Doita M, Takayama H, et al. An expanding cervical synovial cyst causing acute cervical radiculopathy. J Spinal Disord Tech. 2004 Aug. 17(4):331-3. [Medline].
- Thomas M, Bell GB. Radiologic evaluation and imaging of the spine. Nicholas JA, Hershman EB, eds. The Lower Extremity and Spine in Sports Medicine. 2nd ed. 1995. 1096-7.
- Wilbourn AJ, Aminoff MJ. AAEE minimonograph #32: the electrophysiologic examination in patients with radiculopathies. Muscle Nerve. 1988 Nov. 11(11):1099-114. [Medline].