Lumbosacral Radiculopathy
Gerard Malanga, MD, Chief Editor: Craig C Young, MD, Coauthors: Mariam Rubbani, MD, Charles J Buttaci, DO, Additional Contributors: Andrew D Perron, MD
Background
Some of the major causes of acute and chronic low back pain (LBP) are associated with radiculopathy. However, radiculopathy is not a cause of back pain; rather, nerve root impingement, disc herniation (see the image below), facet arthropathy, and other conditions are causes of back pain. [1, 2, 3]

Sagittal magnetic resonance image showing loss of intervertebral disc height at L5/S1. Herniations of the nucleus pulposus are noted at L4/5 and L5/S1. Courtesy of Barton Branstetter, MD
Lumbosacral radiculopathy, like other forms of radiculopathy, results from nerve root impingement and/or inflammation that has progressed enough to cause neurologic symptoms in the areas that are supplied by the affected nerve root(s).
For excellent patient education resources, visit eMedicineHealth's Osteoporosis Center. Also, see eMedicineHealth's patient education articles Low Back Pain and Slipped Disk.
Epidemiology
Frequency
United States
Lumbosacral radiculopathy occurs in approximately 3-5% of the population, and men and women are affected equally, although men are most commonly affected in their 40s, whereas women are most commonly affected between ages 50-60. [4] Of those who have this condition, 10-25% develop symptoms that persist for more than 6 weeks.
Functional Anatomy
The anatomy of the lumbar epidural space is the key to understanding the mechanism of lumbosacral radiculopathic pain. The sinuvertebral nerves innervate structures in the lumbar epidural space; these nerves originate distal to the dorsal root ganglion, then run back through the intervertebral foramen to supply the arteries, venous plexi, and lymphatics. At the inner aspect of the intervertebral foramen, the sinuvertebral nerves divide into ascending and descending branches that freely communicate with corresponding branches from the segment above, from the segment below, and from the opposite side.
The sinuvertebral nerve supplies the posterior longitudinal ligament, superficial annulus fibrosus, epidural blood vessels, anterior dura mater, dural sleeve, and posterior vertebral periosteum. The 2 structures capable of transmitting neuronal impulses that result in the experience of pain are the sinuvertebral nerve and the nerve root. The posterior rami of the spinal nerves supply the apophyseal joints above and below the nerve as well as the paraspinous muscles at multiple levels.
Herniation of the intervertebral disc can cause impingement of the above neuronal structures, thus causing pain. The presence of disc material in the epidural space is thought to initially result in direct toxic injury to the nerve root by chemical mediation and then exacerbation of the ensuing intraneural and extraneural swelling, which results in venous congestion and conduction block. Notably, the size of the disc herniation has not been found to be related to the severity of the patient's pain.
Pain is also believed to be mediated by inflammatory mechanisms that involve substances such as phospholipase A2, nitric oxide, and prostaglandin E. These mediators are all found in the nucleus pulposus itself. Phospholipase A2 has been found in high concentrations in herniated lumbar discs; this substance acts on cell membranes to release arachidonic acid, a precursor to other prostaglandins and leukotrienes that further advance the inflammatory cascade. Additionally, leukotriene B4 and the substance thromboxane B2 have been found to have direct nociceptive stimulatory roles.
From a biomechanical standpoint, the lumbar intervertebral discs are highly susceptible to herniation because they are exposed to tremendous forces, principally by the magnification of the forces that result from the lever effect of the human arm in lifting; the forces generated by the upper trunk mechanics with rotation, flexion/extension, and side-bending on the discs below; and by the vertical forces associated with the upright position. Because each intervertebral disc is a fluid system, hydraulic pressure is generated whenever a load is placed on the axial skeleton. The hydraulic pressure mechanisms then multiply the force on the annulus fibrosus of the intervertebral disc to make it 3-5 times that which is exerted on the axial skeleton.
Sport-Specific Biomechanics
Dancers are prone to both acute and chronic back problems, including lumbosacral radiculopathy, which develop secondary to the combination of 2 factors that are required in most dance routines: extreme physical flexibility and exposure of the spine to the extremes of its range of motion. [1] Additionally, female dancers are predisposed to disc herniation secondary to the positioning that is required in certain movements, such as the pas de deux (in which excess lumbar lordosis is present), as well as the large jumps that these dancers often perform.
Golfers are also very susceptible to disc disease and lumbosacral radiculopathy because of the repetitive torsional motion that is used in the sport. [5] The golf swing can produce up to an estimated 7500 N of compressive force across L3-L4. Competitive weight lifters and football linemen have been noted to experience even larger compressive loads.
History
The onset of symptoms in patients with lumbosacral radiculopathy is often sudden and includes LBP. Some patients state the preexisting back pain disappears when the leg pain begins.
Sitting, coughing, or sneezing may exacerbate the pain, which travels from the buttock down to the posterior or posterolateral leg to the ankle or foot.
Radiculopathy in roots L1-L3 refers pain to the anterior aspect of the thigh and typically does not radiate below the knee, but these levels are affected in only 5% of all disc herniations.
When obtaining a patient's history, be alert for any red flags (ie, indicators of medical conditions that usually do not resolve on their own without management). Such red flags may imply a more complicated condition that requires further workup (eg, tumor, infection). [6] The presence of fever, weight loss, or chills requires a thorough evaluation. Patient age is also a factor when looking for other possible causes of the patient's symptoms. Individuals younger than 20 years and those older than 50 years are at increased risk for more malignant causes of pain (eg, tumor, infection).
Physical
A comprehensive physical examination of a patient with acute LBP should include an in-depth evaluation of the neurologic and musculoskeletal systems.
The neurologic examination should always include an evaluation of sensation, strength, and reflexes in the lower extremities. This portion of the examination allows the examiner to detect sensory or motor deficits that may be consistent with an associated radiculopathy or cauda equina syndrome. Often, an assessment of the L5 reflex (medial hamstrings) is helpful. Also, in L5 radiculopathy, the presence of weakness in foot invertors should raise the additional suspicion of a peroneal nerve palsy.
When differentiating between an L3 radiculopathy versus a femoral neuropathy, weakness in the hip adductors in addition to the quadriceps group would indicate an L3 radiculopathy. In an isolated femoral neuropathy, only the quadriceps group would show weakness.
Provocative maneuvers, such as the straight-leg raising test or the slump test, may provide evidence of increased dural tension, indicating underlying nerve root pathology. Attempts at pain centralization through postural changes (ie, lumbar extension) may suggest a discogenic etiology for pain and may also assist in determining the success of future treatment strategies.
The musculoskeletal evaluation should include an assessment of the lower extremity joints, as pain referral patterns may be confused with focal peripheral involvement. For example, a patient with anterior thigh and knee pain may actually have a degenerative hip condition rather than an upper lumbar radiculopathy. By assessing lower extremity flexibility, hip rotation, muscular balance, and ligamentous stability, the evaluating physician might be alerted to the patient's predisposition toward an acute LBP episode.
Combining the findings of the patient's history and physical examination increases the overall predictive value of the clinical evaluation process. Further diagnostic studies are indicated only upon the completion of a thorough history and physical examination and the establishment of a differential diagnosis.
A study by Zheng et al found that tarsal tunnel syndrome coexisted in 27 (4.8%) of the study's 561 patients with lumbosacral radiculopathy. [7]
Differential Diagnoses
Lumbosacral Disc Injuries
Thoracic Disc Injuries
Trochanteric Bursitis
Imaging Studies
Plain radiographs
Plain radiographs are the most common type of imaging modality that is used in the workup of patients with LBP. However, radiographs have been overused; generally, plain films are not routinely necessary for most episodes of acute LBP, especially within the first 6 weeks after the onset of symptoms. Additionally, the radiographs are often unremarkable in patients who have radiculopathy that is secondary to a herniated nucleus pulposus.
The main purpose of plain radiographs is to detect serious underlying structural pathologic conditions. Many changes seen on the radiographs of symptomatic patients with lumbosacral radiculopathy are also seen in the radiographs of asymptomatic patients.
Selective criteria can be used to improve the usefulness of plain radiographs in the evaluation of lumbosacral radiculopathy. Radiographs are generally not recommended during the first month of the patient's symptoms if there are no red flags (see Clinical, History, above). Oblique views are rarely indicated, as they increase both the cost and radiation exposure to the patient.
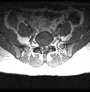
MRI (see image below)

Magnetic resonance image demonstrating extension of the nucleus pulposus to the right paracentral region of the spinal cord. The disc is adjacent to the inflamed right L5 nerve root. Courtesy of Barton Branstetter, MD.
MRI has demonstrated excellent sensitivity in the diagnosis of lumbar disc herniation and is considered the imaging study of choice for nerve root impingement. However, this preference is tempered by the prevalence of abnormal findings in asymptomatic subjects.
The use of MRI should be reserved for selected patients, such as the following:
Immediate MRI of the spine may be indicated in patients with progressive neurologic deficits or cauda equina syndrome, in patients with a presentation that is suggestive of malignancy, in patients with a known history or high risk of malignancy, or in cases in which there is a clinical suspicion to evaluate for a possible inflammatory disease or infection.
MRIs are not necessary in all patients who have examination findings that are consistent with a radiculopathy; in fact, these studies should generally be reserved for those cases in which the imaging results are likely to guide treatment.
Although many clinicians prefer to obtain an MRI prior to planning an epidural steroid injection, recent literature suggests this practice may not provide superior outcomes. [8]
When physical examination and electrodiagnostic findings do not indicate the exact levels of pathology in a patient who is in need of a selective nerve root block, MRI may help the physician to determine the exact level of pathology (see Other Tests, Electrodiagnosis, below).
In the absence of red flags, many patients (even those with a classic lumbosacral radiculopathy) can and should be managed without an MRI, especially if these individuals are not being considered for surgery or injections. Some clinicians reserve MRI for those patients in whom the treatment response is not as expected.
The addition of gadolinium for the MRI study is not necessary in most cases unless the patient has had a previous surgery or there is interest in the enhancing qualities of a previously observed lesion.
CT scanning
CT scanning of the lumbar spine provides superior anatomic imaging of the osseous structures of the spine and good resolution for cases of disc herniation. However, the sensitivity of a CT scan without myelography for detecting disc herniation is inferior to that of MRI. As with MRI, there can be a significant number of positive findings in the asymptomatic population when CT scanning is used.
Myelogram
A myelogram involves penetration of the subarachnoid space. This study is generally not indicated in the evaluation of acute LBP.
Generally, the myelogram is reserved as a preoperative test, often performed in conjunction with a CT scan. This procedure provides a detailed anatomic picture, particularly of the spinal osseous elements, and the myelogram can be used to correlate examination findings and assist in preoperative planning.
Myelograms are rarely used in the nonoperative evaluation of patients with acute LBP, except in cases in which the clinical picture supports a progressive neurologic deficit and MRI and electromyography are nondiagnostic.
A study by Tong found that combining the findings of positive sharp waves (at least 30% motor unit changes) with the mini-paraspinal mapping score improves the ability to detect lumbar radiculopathy in patients with radiating low back pain. This combination of testing techniques increased the detection of radiculopathy from 27.1% when using findings of positive sharp waves alone to 50% when using the combination method. [9]
Discography (see image below)

Discography is rarely necessary in the evaluation of acute LBP, and it is certainly not recommended within the first 3 months of treatment. Discography studies can be helpful in patients whose condition has not had a satisfactory response to a well-coordinated rehabilitation program or who have normal or equivocal MRI findings. In such cases, discography may have some benefit in localizing a symptomatic disc as the etiology of nonradicular back pain. (See also the Medscape Reference article Discography.)
A positive discogram must include a concordant pain response, which includes reproduction of the patient's symptoms upon injection of a contrast medium into a symptomatic disc, a nonpainful response upon injection of a contrast medium into control discs, and observed annular pathology on a postdiscography CT scan, if used.
Discography is most often used before the contemplation of surgical fusion for unremitting patient pain that is due to a symptomatic internal disc disruption. Some authors have found discography followed by CT scan to be a more precise technique that may delineate discovertebral pathology with sensitivities that are similar to or better than those of MRI and CT scanning/myelography.
Discography must be used with care because a significant percentage of individuals with positive discography findings improve without surgery. In addition, individuals with underlying psychologic issues tend to overreport pain during discographic injection of the contrast medium. Nonetheless, discographic injection still remains the only quasi-objective provocative test for disc-mediated pain. CT discography has also received attention because it may be a good predictor of surgical outcome following lumbar fusion for patients with intractable back pain.
Other Tests
Electrodiagnosis
Electrodiagnostic studies (eg, nerve conduction studies and needle electromyography) should be considered an extension of the history and physical examination in patients with lumbosacral radiculopathy and not merely a substitute for detailed neurologic and musculoskeletal examinations. (See also the Medscape Reference article Physical Assessment for Electrodiagnostic Medicine.)
These studies are helpful when the diagnosis remains unclear (eg, peroneal neuropathy vs radiculopathy) in the evaluation of patients who have limb pain or when attempting to localize the patient's symptoms to a specific nerve root level. [10] Electrodiagnostic studies are also helpful for excluding other causes of sensory and motor disturbances, such as peripheral neuropathy and motor neuron disease. Additionally, these studies can provide useful prognostic information by quantifying the extent and acuity of axonal involvement in radiculopathies. (See also the Medscape Reference article Peroneal Mononeuropathy.)
Tong found that combining the needle electromyography findings of positive sharp waves, ≥30% motor unit changes and MiniPM score improves the ability to detect lumbar radiculopathy in patients with radiating low back pain. This combination of testing techniques increased the detection of radiculopathy from 27.1% when using just findings of positive sharp waves to 50% using this combination method. [9]
Performing late response tests, such as the H-reflex, can provide valuable information regarding the proximal nerve/nerve root involvement. The H-reflex is both a sensitive and specific marker for involvement of the S1 root and will be prolonged from the time of symptom onset.
F waves, which are also used to detect abnormalities in the proximal portion of nerves, are too nonspecific to be clinically useful in the setting of lumbosacral radiculopathy.
Electrodiagnostic testing is usually not necessary in a clear-cut lumbosacral radiculopathy or in patients with isolated mechanical low back symptoms. Furthermore, these studies do not assess the smaller myelinated and unmyelinated nerve fibers, which are typically responsible for pain transmission. (See also the Medscape Reference article Mechanical Back Pain.)
If the patient has had previous episodes of radicular symptoms or previous spinal surgery, it may be useful both from a diagnostic perspective and from a medicolegal standpoint to perform initial electrodiagnostic studies as soon as possible after the appearance of new symptoms in order to differentiate later developments from preexisting disease.
Specific electrodiagnostic studies are as follows:
Nerve conduction studies: Distal peripheral motor and sensory nerve conduction studies are often normal in a single-level radiculopathy.
Needle electromyography: This technique offers a high diagnostic yield. Timing is important, and the study should be performed less than 4-6 months (but >18-21 d) from symptom onset.
Somatosensory evoked potential studies (SSEPs): These studies are essentially of no value in the assessment of acute LBP and lumbosacral radiculopathy. SSEPs are not indicated unless the patient's neurologic signs and symptoms are suggestive of pathology that would indicate involvement of the somatosensory pathways.
(See also the Medscape Reference articles General Principles of Somatosensory Evoked Potentials, Clinical Utility of Evoked Potentials, and Clinical Applications of Somatosensory Evoked Potentials [in the Neurology section].)
Procedures
See Other Tests, above.
Acute Phase
Rehabilitation Program
Physical therapy
A method that is commonly referred to as "back school" involves teaching the patient back-protection techniques (eg, proper lifting, posture awareness). A lumbar stabilization program is another useful method that physical therapists may incorporate for patients with LBP. [11] The patient is instructed in various techniques to control his or her back pain, and he or she also works on strengthening the stabilizing muscles of the lumbar spine. This is actually a combination of different techniques and may involve the McKenzie exercise program (a series of repetitive lumbar spine exercises for the management of LBP).
Core strengthening is advocated by many rehabilitation specialists as a means of improving muscular control around the lumbar spine to maintain functional stability. [12, 13] The core muscles include the abdominals anteriorly, the paraspinals and gluteals posteriorly, the diaphragm as the roof, and the pelvic floor and hip girdle musculature as the floor. A typical program consists of a series of graded exercises that promote movement awareness and motor relearning in addition to strengthening.
Soft-tissue modalities are also usually incorporated into a back pain program. These modalities involve specific manual techniques, myofascial release, or massage to improve the soft-tissue component of a patient's pain.
The use of lumbar traction has long been a preferred method of treating lumbar disc problems. Lumbar traction requires approximately 1.5 times the person’s body weight to develop distraction of the vertebral bodies. However, this method can be cumbersome and time consuming; furthermore, most individuals find lumbar traction difficult to tolerate.
Vertebral axial decompression (VAX-D) is a relatively newer method that causes distraction of the vertebral bodies and probably represents a more technical version of traction. Currently, there is no evidence in the peer-reviewed literature to support this form of treatment. No significant difference in outcome has been demonstrated with traction relative to sham traction; however, greater morbidity has been demonstrated in the traction group. A limited amount of evidence supports its use. Given the effectiveness of more active treatments, traction is generally not recommended in the treatment of acute LBP.
The above techniques may also be used during the recovery phase, with a lifelong home exercise program forming part of the maintenance phase.
Surgical Intervention
Most sources agree on the urgent and definitive indications for surgical intervention in patients with lumbosacral radiculopathy (eg, significant/severe and progressive motor deficits, cauda equina syndrome with bowel and bladder dysfunction). The 5 surgical treatment options are as follows:
Ninety percent of patients who have surgery for lumbar disc herniation undergo discectomy alone, although the number of spinal fusion procedures has greatly increased. [14] Additionally, the complication rate of simple discectomy is reported at less than 1%.
Other Treatment
Epidural steroid injections are a modality that appears promising, despite a paucity of well-designed trials of their efficacy. [15, 16] A study by Abrams reported that only 13 controlled, randomized trials had been published on the use of epidural steroid injections for back pain. [16] Although some controversy exists in the literature, caudal epidural steroid or saline injections may be another treatment option for chronic lumbar radiculopathy. A multicenter, blinded, randomized controlled trial conducted in Norway assessed the efficacy of caudal epidural steroid or saline injections in chronic lumbar radiculopathy at 6 weeks, 12 weeks, and 52 weeks. All patients studied improved after treatment, but no statistical or clinical differences were noted over time. [17]
Lutz et al demonstrated an outcome success rate of 75.4% with the use of selective nerve blocks in conjunction with oral medications and physical therapy in patients who had a herniated lumbar nucleus pulposus and radiculopathy in whom conservative therapy had not yielded positive results. [18] Other investigators also found similar benefits from the procedure. Although epidural steroid injections may be performed within months to years of symptom onset, with comparable symptomatic relief, the optimal time period is 6-9 months from onset. However, the growing consensus is that this treatment is most effective in acute cases (3-6 mo post onset). [19]
In a review study, DePalma et al found level III (moderate) evidence supporting the use of transforaminal epidural steroid injections (TFESIs) in the treatment of lumbosacral radiculopathy. [20] Six trials were analyzed in the review, and no significant complications were reported.
Chang-Chien et al assessed studies that compared transforaminal epidural steroid injections (TFESI) and interlaminar epidural steroid injections (ILESI) for pain relief and functional improvement from lumbosacral radicular pain. [21] The findings show that both TFESI and ILESI are effective in the short term (average 3 months) reducing pain and improving functional scores in unilateral lumbosacral radicular pain. [21]
Moreover, a literature review by Liu et al found no significant difference in the efficacy of transforaminal versus caudal epidural steroid injections for lumbosacral radicular pain. [22]
In addition, in patients with chronic lumbosacral radicular pain who received transforaminal epidural steroid injections, a retrospective cohort study by McCormick et al found no significant difference between particulate and nonparticulate steroids with regard to pain reduction at short- and intermediate-term follow-up or in the mean number of repeat injections given by intermediate-term follow-up. [23]
In another report, Friedly et al investigated trends of increasing lumbosacral injections (eg, epidural steroid injections [ESIs], facet joint injections, sacroiliac joint injections, and related fluoroscopy) for LBP from 1994-2000 in the Medicare population. [15] The authors reviewed Medicare Part B claims data with use of Current Procedural Technology (CPT) billing codes from the relevant period and found a 271% increase in lumbar ESIs, an increase from $24 million to $175 million of the total inflation-adjusted reimbursed costs for professionals, and almost a doubling of the costs per injection, from $115 to $227.
Most clinicians agree that image-guided transforaminal epidural injections are preferred to an interlaminar or caudal approach. This technique routinely delivers medication to the anterior epidural space.
Although most clinicians utilize a supraneural technique for transforaminal injections, the Kambin triangle approach offers a reasonable alternative which may provide similar outcomes. [24] The Kambin triangle technique places the tip of the needle below the spinal nerve, as opposed to the traditional supraneural approach in which the needle is positioned above the nerve.
Saeidian et al conducted a study to evaluate trigger point therapy on the outcome of pain in patients with lumbosacral radiculopathy. Results show that trigger point injection therapy in patients suffering from chronic lumbosacral radiculopathy with trigger points can significantly improve their pain for the short term (10 days). [25]
Recovery Phase
Rehabilitation Program
Physical therapy
In the recovery phase, patients with lumbosacral radiculopathy should gradually progress in their physical therapy program to continue to decrease pain and focus on functional stabilization and back safety techniques. By the end of this phase, patients should be independent in an appropriate home exercise program.
Other Treatment (Injection, manipulation, etc.)
Manipulation/mobilization
Several studies have demonstrated the efficacy of manipulation and soft-tissue mobilization in the treatment of acute LBP; manual medicine techniques have been shown to relieve acute pain and reduce symptoms in the initial stages of treatment. The best effects are noted during the initial 1-4 weeks of therapy.
The initial manipulation prescription should be performed once per week in conjunction with the patient's exercise program. The incorporation of patient-activated treatment, termed muscle energy, can be performed up to 2-3 times per week and should be performed in conjunction with an active exercise program.
Regularly scheduled follow-up visits are necessary to monitor for changes in the patient's symptoms and/or physical examination findings.
Clear-cut goals of treatment should be established at the onset of the therapy. A lack of improvement after 3-4 treatments should result in discontinuation of the manipulation, and the patient should be reassessed.
Manual medicine treatment may be incorporated into the initial treatment of acute LBP to facilitate the patient’s active exercise program. Treating practitioners should be aware of the contraindications for manipulation, especially manipulation under anesthesia, which has been demonstrated to be a high-risk practice. Although superior patient satisfaction levels have been demonstrated among those patients who receive manipulation-based care, there is no supporting evidence for maintenance treatment once the acute pain episode has resolved.
Maintenance Phase
Rehabilitation Program
Physical therapy
Once discharged from physical therapy, the patient will be expected to continue his or her home exercise program on a regular basis, with the understanding that the management of lumbar radiculopathy is a long-term process.
Medication Summary
Nonsteroidal anti-inflammatory drugs (NSAIDs) are the mainstay of the initial treatment for LBP. With the use of all NSAIDs, elderly patients should be monitored for gastrointestinal (GI) and renal toxicity. Pain control with acetaminophen or a suitable narcotic may be more appropriate for elderly patients.
Muscle relaxant drugs are not first-line agents, but they may be considered for patients who are experiencing significant spasms. No studies have documented that these medications change the natural history of the disease. Because muscle relaxant drugs may cause drowsiness and dry mouth, the clinician may find it useful to recommend that these medications be taken at least 2 hours before bedtime.
Nonsteroidal Anti-inflammatory Agents (NSAIDs)
Class Summary
NSAIDs have analgesic, anti-inflammatory, and antipyretic activities. The mechanism of action of these agents is not known, but they may inhibit cyclooxygenase activity and prostaglandin synthesis. Other mechanisms may exist as well, such as inhibition of leukotriene synthesis, lysosomal enzyme release, lipoxygenase activity, neutrophil aggregation, and various cell membrane functions.
Diclofenac (Voltaren, Cataflam)
View full drug information
Inhibits prostaglandin synthesis by decreasing the activity of the enzyme cyclooxygenase, which in turn decreases the formation of prostaglandin precursors.
Naproxen (Aleve, Naprelan, Naprosyn, Anaprox)
View full drug information
For the relief of mild to moderate pain. Inhibits inflammatory reactions and pain by decreasing the activity of cyclooxygenase, which results in a decrease of prostaglandin synthesis.
Muscle Relaxants
Class Summary
Muscle relaxant medications are used for radiculopathy that has a significant component of muscle spasm.
Cyclobenzaprine (Flexeril)
View full drug information
Skeletal-muscle relaxant that acts centrally and reduces motor activity of tonic somatic origins that influence both alpha- and gamma-motor neurons. Structurally related to TCAs and, thus, carries some of the same risks.
Analgesics
Class Summary
Pain control is essential to quality patient care. Analgesics ensure patient comfort and have sedating properties, which are beneficial for patients who are in pain.
Oxycodone (OxyContin)
View full drug information
Indicated for the relief of moderate to severe pain.
Oxycodone and acetaminophen (Percocet, Tylox, Roxicet, Roxilox)
View full drug information
Drug combination indicated for the relief of moderate to severe pain.
Tramadol (Ultram)
View full drug information
Inhibits the ascending pain pathways, altering perception of and response to pain. Also inhibits the reuptake of norepinephrine and serotonin.
Anticonvulsant
Class Summary
Some agents in this category are used to manage pain.
Gabapentin (Neurontin)
View full drug information
Membrane stabilizer, a structural analogue of the inhibitory neurotransmitter gamma-aminobutyric acid (GABA), which paradoxically is thought not to exert effects on GABA receptors. Appears to exert action via the alpha(2)-delta1 and alpha(2)-delta2 auxiliary subunits of voltage-gaited calcium channels. Used to manage pain and provide sedation in neuropathic pain.
Education
Individuals with lumbosacral radiculopathy need to have an understanding of the likely etiology of their pain. The examination findings of patients with acute LBP can often be suggestive, although no clinical or historical findings have been found to significantly correlate with confirmed pain generators.
Review the basic anatomy and biomechanics of the spine with the patient. Discuss the etiology of the patient's symptoms. Also discuss the treatment plan, including a description of the recommended imaging studies, medications, injections, and therapeutic exercises. Review proper posture, the biomechanics of the spine in the activities of daily living, and simple methods to reduce the patient's symptoms. These early and simple instructions enable the patient to become an active participant in the treatment as he or she progresses to a more comprehensive home exercise program.
Patients must understand that they are making a lifelong commitment to their maintenance exercise program, because the single most important risk factor for future episodes of back pain is a previous episode. Patient education should be considered an ongoing process that must be continually refined. Directed education should continue until the patient is independent in his or her maintenance exercise program.
References
New Jersey Regenerative Institute | 197 Ridgedale Avenue, Suite 210, Cedar Knolls, New Jersey 07927 | 973-998-8309
Results may vary based on individual’s overall health, lifestyle, severity of the orthopedic condition being treated and responses are not guaranteed. The information on this site is solely for purposes of general patient education, and may not be relied upon as a substitute for professional medical care. Consult your own physician for evaluation and treatment of your specific condition.